The chest (thoracic) cavity is a space that is enclosed by the spine, ribs and sternum (breast bone) and is separated from the abdomen below by the diaphragm. The chest cavity contains the heart, the thoracic aorta, lungs, and esophagus (swallowing passage) among other important organs
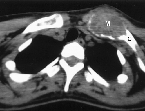
Tumors in the Chest Wall typically manifest as painful, quickly growing and easily palpable masses. Surgery is often necessary, and may be followed by plastic surgery reconstruction to recreate a normal appearance.
Treatment options will depend upon the type of Chest Wall Tumor found. If the tumor is benign, no treatment may be required, although at times, proving that a chest wall tumor is benign requires that it be removed (excisional biopsy).



